类型:教育学习 安卓软件 版本:7.4.15 大小:118.47M更新:2025-10-10 厂商:eAnatomy
知到教师版
186.5M
教育学习
新华字典
213.08M
教育学习
贝乐虎儿歌
47.85M
教育学习
快鸭驾考
35.13M
教育学习
快鸭学车学员端
35.13M
教育学习
海豚自习
142.93M
教育学习
都都数学
285.67M
教育学习
互联网营销师考试聚题库
80.19M
教育学习
互联网营销师考试聚题库
80.19M
教育学习
家校通
38.76M
教育学习
考试宝典
418.57M
教育学习
驾运宝
53.72M
教育学习
应用介绍 应用截图 下载地址
标签: 学习教育
eAnatomyapp是一款专注于医学领域的3D交互式解剖学学习工具,特别为中文用户量身定制。eAnatomy2025最新版通过高度精细的三维模型和丰富的医学知识库,为医学生、医务工作者以及解剖学爱好者提供了直观而高效的学习体验,帮助使用者深入掌握人体结构的奥秘。以多样化的功能和创新的学习方式,成为了解剖学学习的理想选择。
高精度三维模型:提供的三维解剖模型具备极高的细节和准确性,通过360度旋转和层级剥离的方式,全面观察各个器官和系统的结构。
权威医学标签:内置超万个经过权威认证的解剖结构标识,支持中英文术语对照,便于用户在学习过程中快速理解和记忆。
智能学习模块:集成了肌肉起止点查询、神经血管走向追踪和骨性标志定位等专业学习工具,帮助用户高效掌握解剖学知识。

学术权威性:所有解剖数据均基于国际公认的解剖学标准,确保了学术的准确性和可靠性,适合用于专业学习。
沉浸式交互体验:流畅的模型操控和实时渲染技术,使得学习过程更加生动有趣,用户能够体验到身临其境的感觉。
循序渐进的学习路径:从系统解剖到局部解剖,科学构建知识体系,帮助用户逐步加深对解剖学的理解和掌握。
全息三维解剖模型:提供多层次、可交互的人体系统3D模型,用户可随意旋转和剥离观察。
专业医学标签系统:包含丰富的解剖结构标识,支持中英文术语对照,方便用户学习和记忆。
智能学习工具:集成多种查询功能,帮助用户快速找到所需的解剖信息。
临床病例集成:结合真实的临床影像与解剖模型,帮助用户深化理论与实践的结合。
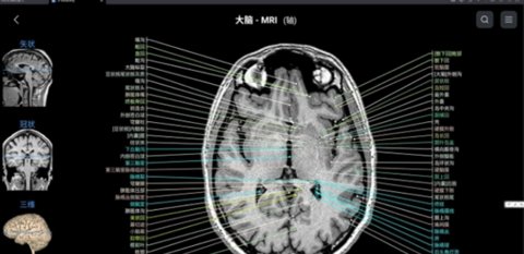
在本站下载eAnatomy中文版后,首先进行安装并启动软件,用户将看到一个友好的界面,展示各个解剖部位的CT、MRI和血管造影等影像。
进入软件后,可以通过种类和区域过滤功能,快速找到感兴趣的解剖部位,极大提高了查找的效率。想查看脑部的CT影像,只需选择相关选项即可。
利用丰富的MRI和X线影像进行学习,特别是血管造影图像,直观展示血管结构,帮助用户更好地理解解剖学知识。
1. 如何下载eAnatomy?
在本站下载渠道获取eAnatomy中文版,确保下载的版本为最新且安全。
2. eAnatomy适合哪些人群?
适合医学生、医务工作者以及解剖学爱好者,帮助他们更好地学习和掌握解剖学知识。
3. 如何获取更多的解剖资料?
搜索相关解剖结构,或通过参考文献和其他医学资料进行深入学习。
eAnatomy整体体验非常满意。3D模型的细致程度和交互性极大提升了学习的乐趣和效率。通过各种功能,用户能够轻松找到所需的解剖信息,结合真实影像的学习方式,更加深入地理解了人体结构。工具确实是医学学习的得力助手。
应用截图
<>
多平台下载
夸克高考
全安驾考
小布咕
医考网校
小鹅通学员版
精读圣经
爱英语
开心鼠英语
菠萝英语
幼儿早教英语
旅行英语
小飞机英语